10년의 기다림 끝에 만나는 진짜 전문의
구강외과전문의가 진료합니다

혹시 치과 치료를 받으며 이런 생각을 해보신 적 있으신가요?
"정말 이 의사가 나를 제대로 치료할 수 있을까?"
"복잡한 시술인데 괜찮을까?"
"만약 문제가 생기면 어떻게 하지?"
이런 불안한 마음, 충분히 이해합니다.
10년의 기다림 끝에 만나는 진짜 전문의
구강외과 전문의가 진료합니다
혹시 치과 치료를 받으며 이런 생각을 해보신 적 있으신가요?
"정말 이 의사가 나를 제대로 치료할 수 있을까?"
"복잡한 시술인데 괜찮을까?" "만약 문제가 생기면 어떻게 하지?"
이런 불안한 마음, 충분히 이해합니다.
당신의 소중한 구강 건강을
맡기고 싶은 의사
DR. CHO DENTAL CLINIC
조현우 대표원장은 구강악안면외과 전문의입니다.
치과대학 6년을 졸업하고 치과의사 면허를
취득한 후, 상급병원에서 인턴 1년,
레지던트 3년의 수련 과정을 거쳐
전문의 시험을 통과한 진짜 전문의입니다.
다른 전문의 자격증과 달리 밤낮없는 당직과
응급환자, 입원환자 관리까지 해내며 10년이라는
긴 시간을 오롯이 환자를 위해 바쳐왔습니다.
아무도 해결하지 못한 문제,
이제 답을 찾으셨습니다.
" 다른 곳에서는 불가능하다고 했는데... "
몇 년째 고생하는 턱관절
어렵다는 소리를 들은 고난도 임플란트
대학병원에 가야하는 사랑니 발치
수명이 다한 임플란트의 재수술

특히 이런 분들에게
꼭 필요한 의사입니다.
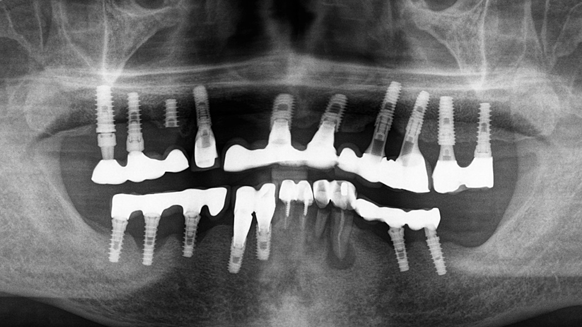
"임플란트 재수술로 고민이신 분들"
임플란트가 대중화된 시대, 하지만 세월이 지나면서 부러지거나 염증이 생긴 임플란트들이 늘어나고 있습니다. 이런 경우 처치하기가 매우 어려워 많은 치과에서 포기하는 경우가 많습니다.
하지만 조현우 원장은 다릅니다. 치료 계획부터 임플란트 보철물 제거, 치조골 재건, 임플란트의 재식립, 저작기능 회복 후의 위생 관리까지 처음부터 끝까지 완벽하게 해결해드립니다.
"단순히 치아만 보는 것이 아닙니다."
구강악안면외과 전문의는 치아와 잇몸만 보는 것이 아닙니다. 안면 부위 전체를 보는 넓은 시야로 진단하고 치료계획을 세웁니다. 응급상황이 생겨도 예상치 못한 부작용이 나타나도 침착하게 대응할 수 있는 능력을 갖고 있습니다.
"당신이 느끼실 수 있는 것"
풍부한 의학적 지식 : 10년간 쌓아온 전문의로서의 실력
환자에 대한 따뜻한 마음 : 환자의 아픔을 내 아픔처럼 여기는 마음
섬세한 술기 : 수많은 수술 경험으로 다져진 정교한 손길
DR. CHO DENTAL CLINIC
이제 안심하고 맡기세요
조현우 구강악안면외과 전문의가 있습니다.
당신의 구강 건강, 이제 진짜 전문의에게 맡기세요.
닥터조치과, 바로가기
DR. CHO DENTAL CLINIC
이 진심을 실력으로 증명하는 의료진이 궁금하다면?
닥터조치과만의 특별한 진료가 더 궁금하다면?
환자들이 직접 느낀 닥터조의 이야기가 궁금하다면?
DR. CHO DENTAL CLINIC
조현우 대표원장은 구강악안면외과 전문의입니다.
치과대학 6년을 졸업하고 치과의사 면허를 취득한 후,
상급병원에서 인턴 1년, 레지던트 3년의 수련 과정을 거쳐
전문의 시험을 통과한 진짜 전문의입니다.
다른 전문의 자격증과 달리 밤낮없는 당직과 응급환자,
입원환자 관리까지 해내며 10년이라는 긴 시간을 오롯이 환자를 위해 바쳐왔습니다.

" 다른 곳에서는 불가능하다고 했는데... "
몇 년째 고생하는 턱관절
어렵다는 소리를 들은 고난도 임플란트
대학병원에 가야하는 사랑니 발치
수명이 다한 임플란트의 재수술
특히 이런 분들에게
꼭 필요한 의사입니다.
"임플란트 재수술로 고민이신 분들"
임플란트가 대중화된 시대, 하지만 세월이 지나면서 부러지거나 염증이 생긴 임플란트들이 늘어나고 있습니다. 이런 경우 처치하기가 매우 어려워 많은 치과에서 포기하는 경우가 많습니다.
하지만 조현우 원장은 다릅니다. 치료 계획부터 임플란트 보철물 제거, 치조골 재건, 임플란트의 재식립, 저작기능 회복 후의 위생 관리까지 처음부터 끝까지 완벽하게 해결해드립니다.
" 당신이 느끼실 수 있는 것 "
풍부한 의학적 지식 : 10년간 쌓아온 전문의로서의 실력
환자에 대한 따뜻한 마음 : 환자의 아픔을 내 아픔처럼 여기는 마음
섬세한 술기 : 수많은 수술 경험으로 다져진 정교한 손길

DR. CHO DENTAL CLINIC
조현우 구강악안면외과 전문의가 있습니다.
당신의 구강 건강, 이제 진짜 전문의에게 맡기세요.
DR. CHO DENTAL CLINIC