씹을 때 찌릿한 통증, 충치일까요?
아니면 눈에 보이지 않는 '금' 때문일까요?
치아손상/충치치료

씹을 때만 나타나는 찌릿한 통증, 분명 아픈데 거울로 봐도 멀쩡하고 원인을 알 수 없어 답답하셨을 겁니다.
그 통증의 정체는 깊이 숨은 '충치'일 수도, 혹은 엑스레이로도 찾기 힘든 '치아균열(크랙)'일 수도 있습니다.
두 질환은 결정적인 차이점이 있습니다. 이제 닥터조가 제시하는 자가진단 리스트를 통해
통증의 진짜 원인을 추측해보고, 어떻게 해결해야 할지 알아보세요.
씹을 때 찌릿한 통증, 충치일까요?
아니면 눈에 보이지 않는 '금' 때문일까요?
치아손상/충치치료
씹을 때만 나타나는 찌릿한 통증, 분명 아픈데 거울로 봐도
멀쩡하고 원인을 알 수 없어 답답하셨을 겁니다. 통증의 정체는
숨은 '충치'일 수도, 혹은 엑스레이로도 찾기 힘든
'치아균열(크랙)'일 수도 있습니다.
통증, '언제' 그리고
'어떻게' 아픈가요?
충치와 치아균열을 구분하는 가장 큰 차이는
통증이 나타나는 '상황'입니다. 아래 두 가지 통증
양상 중, 내 증상과 더 비슷한 쪽을 확인해보세요.
충치
· 차가운 물이나 아이스크림이 닿으면
이가 시리거나 아프다.
· 초콜릿, 사탕 등 단 음식을 먹을 때 통증이 느껴진다.
· 통증이 한번 시작되면 몇 초 또는 그 이상 지속된다.
· 심한 경우 가만히 있어도 욱신거리거나
밤에 잠을 설치기도 한다.
· 치아에 검은 점이나 구멍이 보이기도 한다.
치아균열
· 평소엔 괜찮다가 음식을 씹는 특정 지점에서만
날카로운 통증이 온다.
· 특히 딱딱하거나 질긴 음식을 씹었다가 뗄 때
통증이 더 심하다.
· 통증이 순간적으로 '찌릿' 하고 나타났다가 사라진다.
· 차가운 물을 마실 때도 시큰한 느낌이 들 수 있다.
(균열 틈으로 물이 스며듦)
· 겉으로 보기엔 아무 이상이 없어 보인다.
충치 단계별 치료방법
그 통증은 세균이 치아를 파고드는 신호일 수 있습니다.
충치의 깊이를 정확히 진단하는 것이 먼저입니다.
충치는 진행 단계에 따라 증상과 치료법이
완전히 달라집니다. 닥터조 치과는 현재 상태에 맞는
가장 좋은 방법을 정직하게 제시합니다.
STEP 01. 충치 1단계
증상 : 법랑질에 국한되어 통증이나 증상이 거의 없는
초기 단계입니다.
치료 : 칫솔질만 잘해도 진행이 멈출 수 있습니다.
6개월마다 체크하며 지켜보는 것이 중요합니다.
STEP 02. 충치 2단계
증상 : 충치가 상아질까지 침범한 단계입니다.
차갑거나 단 음식이 닿을 때 찌릿한 통증을
느낄 수 있습니다.
치료 : 충치 범위에 따라 레진으로 간단히 때우거나,
내구성이 더 좋은 인레이/온레이로 치료가
필요할 수 있습니다.
STEP 03. 충치 3단계
증상 : 충치가 신경까지 침범한 단계입니다.
가만히 있어도 욱신거리고, 잠을 설치는
심한 통증이 있을 수 있습니다.
치료 : 충치에 감염된 신경을 제거해 통증을 없애고,
약해진 치아를 크라운으로 보호합니다.
치아균열 단계별 치료방법
치아균열은 현대 치의학에서 가장 진단하기 어려운
질환 중 하나입니다. 엑스레이로는 대부분
보이지 않으며, 오직 환자분이 느끼는 증상과
의사의 경험을 통한 종합적인 판단이 중요합니다.
닥터조는 균열의 깊이를 4단계로 나누어
현재 상태를 정확히 진단하고 그에 맞는
최적의 치료 계획을 제시합니다.
STEP 01. 치아 표면에 국한된 균열
증상 : 씹는 면에 실금처럼 보입니다.
통증이 거의 없습니다.
치료 : 강한 치아 저작과 이악물기 등 악습관 인지 후
습관 개선이 필요하며, 원내에서 교육 및
경과 관찰합니다.
STEP 02. 교합면에서 잇몸 경계까지 균열
증상 : 씹을 때 찌릿한 통증이 있을 수 있습니다.
치료 : 치아가 쪼개지는 것을 막는 크라운 치료가
필수입니다. 필요한 경우 신경치료가
동반 되기도 합니다.
STEP 03. 신경까지 도달한 균열
증상 : 씹을 때 짜릿한 증상과 가만히 있을 때도
심한 통증이 동반됩니다.
치료 : 발치 가능성이 높으나, 신경치료와 크라운
치료로 치아를 살리는 시도를 해볼 수 있습니다.
STEP 04. 치아뿌리 균열
증상 : 치아 뿌리에만 균열이 생긴 경우 육안으로
확인이 불가능하며, 씹을 때 통증,
잇몸 염증 등이 동반될 수 있습니다.
치료 : 발치가 불가피합니다.
임플란트 또는 브릿지 치료가 필요합니다.
결과의 차이를 만드는 특별함
닥터조는 '경험'과 '종합적 증거'로 진단합니다.
하나. 모든 진단의 시작
'환자의 이야기에 귀 기울이는 문진'
언제, 어떻게, 얼마나 아픈지, 어떤 음식을 먹을 때 불편한지 등 환자분의 설명 하나하나에 진단의 가장 중요한 단서가 숨어있습니다. 저희는 장비를 보기 전에 환자분의 목소리부터 듣습니다.
둘. 의사의 눈과 손끝으로
확인하는 '정밀 임상 검사'
치아를 직접 두드려보거나(타진 검사), 특정 부위를 물어보게 하거나(교합 검사)등 다양한 임상 검사를 통해 통증의 정확한 위치와 양상을 파악하여 숨어있는 충치와 균열의 위치를 추적합니다.
셋. 필요 시, 최종 확인을 위한
'3D-CT 입체 분석'
통증의 원인이 치아 내부의 신경이나 뼈와 관련이 있다고 의심될 때, 3D-CT를 통해 치아 뿌리 상태를 3차원으로 확인합니다. 신경치료의 성공률을 높이고, 발치 여부를 결정의 중요한 근거가 됩니다.
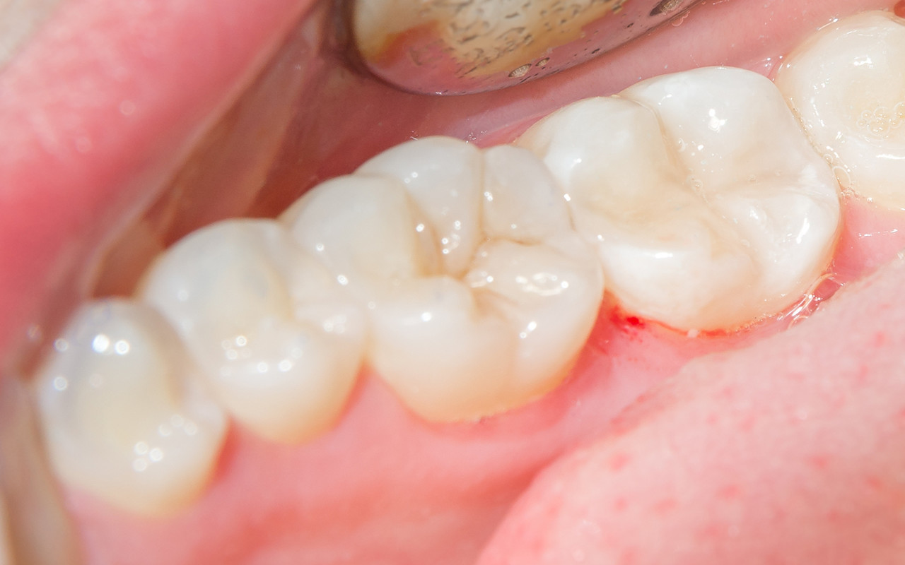
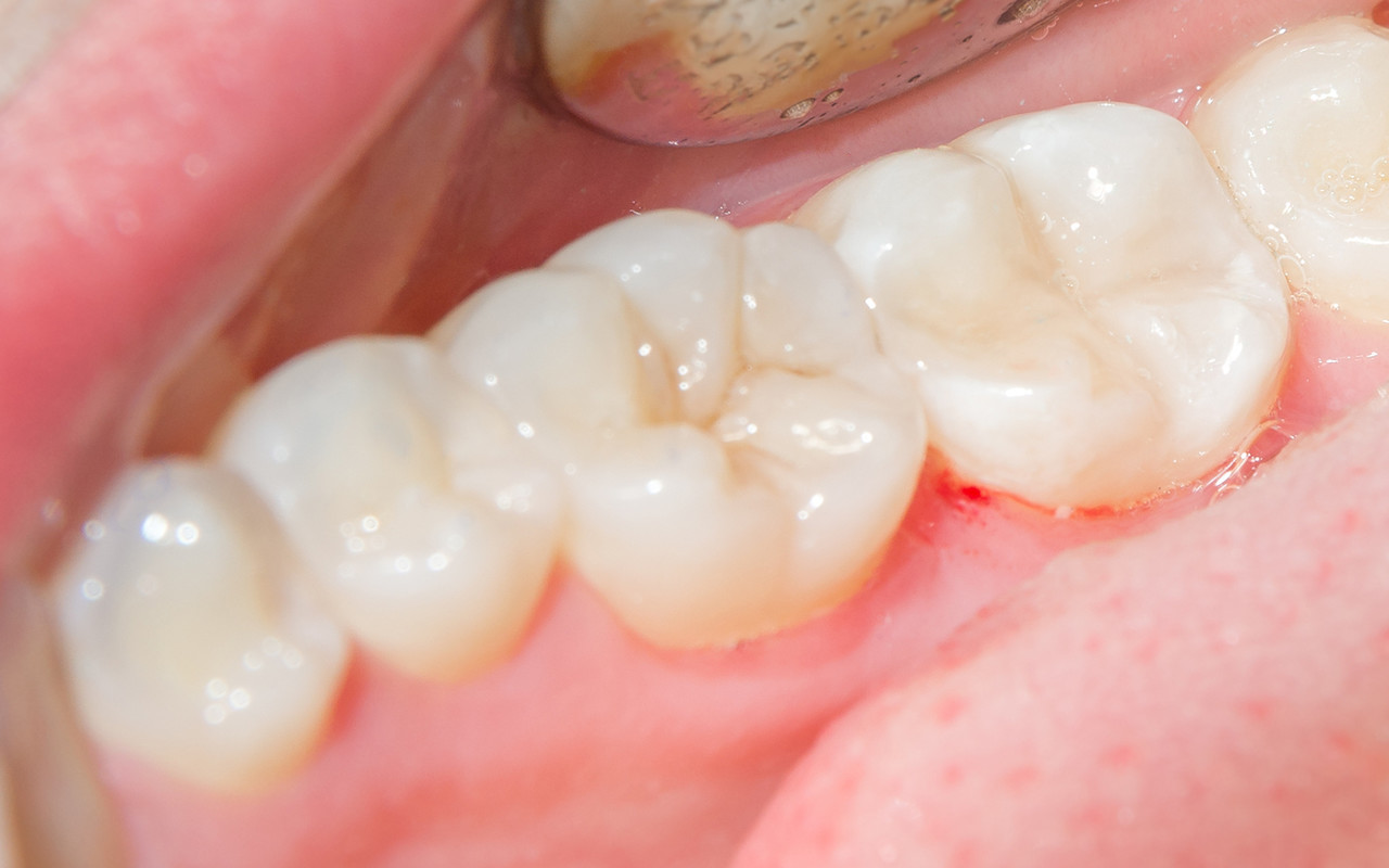
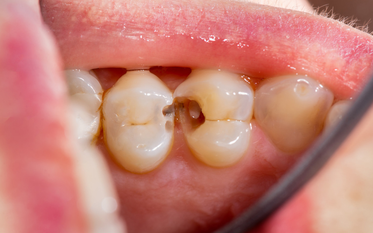
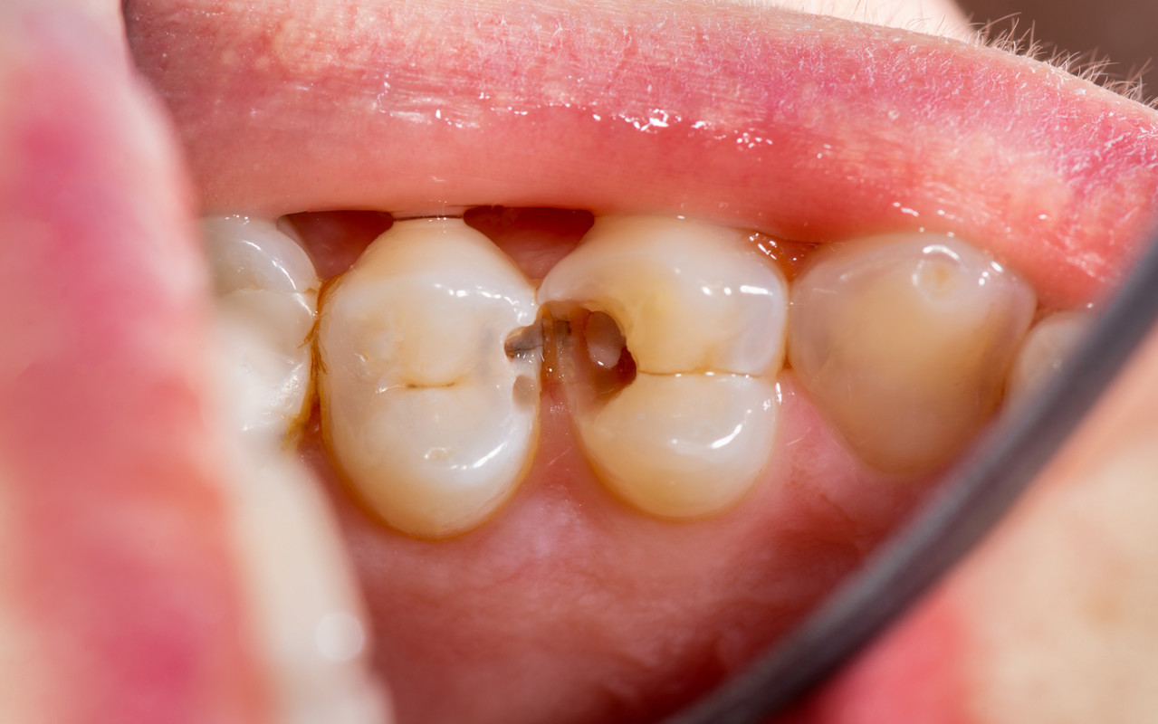
닥터조치과 치료사례
DR. CHO DENTAL CLINIC
본 이미지는 환자의 동의를 얻어, 동일 환경에서
촬영하였습니다. 시술, 수술 후에는 개인에 따라 출혈, 염증,
감염 등 부작용이 발생할 가능성이 있으므로 세심한 주의가
필요합니다. 의료진과 상담 후 결정하시기 바랍니다.
충치와 치아균열을 구분하는 가장 큰 차이는 통증이 나타나는 '상황'입니다.
아래 두 가지 통증 양상 중, 내 증상과 더 비슷한 쪽을 확인해보세요.
충치
치아균열
· 차가운 물이나 아이스크림이 닿으면 이가 시리거나 아프다.
· 초콜릿, 사탕 등 단 음식을 먹을 때 통증이 느껴진다.
· 통증이 한번 시작되면 몇 초간 혹은 그 이상 지속된다.
· 심한 경우 가만히 있어도 욱신거리거나 밤에 잠을 설치기도 한다.
· 치아에 검은 점이나 구멍이 보이기도 한다.
· 평소엔 괜찮다가 음식을 씹는 특정 지점에서만 날카로운 통증이 온다.
· 특히 딱딱하거나 질긴 음식을 씹었다가 뗄 때 통증이 더 심하다.
· 통증이 순간적으로 '찌릿' 하고 나타났다가 사라진다.
· 차가운 물을 마실 때도 시큰한 느낌이 들 수 있다. (균열 틈으로 물이 스며듦)
· 겉으로 보기엔 아무 이상이 없어 보인다.
충치 단계별 치료방법
그 통증은 세균이 치아를 파고드는 신호일 수 있습니다.
충치의 깊이를 정확히 진단하는 것이 먼저입니다.
충치는 진행 단계에 따라 증상과 치료법이 완전히 달라집니다.
닥터조 치과는 현재 상태에 맞는 가장 좋은 방법을 정직하게 제시합니다.
STEP 01. 충치 1단계
증상 : 법랑질에 국한되어 통증이나 증상이 거의 없는 초기 단계입니다.
치료 : 칫솔질만 잘해도 진행이 멈출 수 있습니다.
6개월마다 체크하며 지켜보는 것이 중요합니다.
STEP 02. 충치 2단계
증상 : 충치가 상아질까지 침범한 단계입니다.
차갑거나 단 음식이 닿을 때 찌릿한 통증을 느낄 수 있습니다.
치료 : 충치 범위에 따라 레진으로 간단히 때우거나,
내구성이 더 좋은 인레이/온레이로 치료가 필요할 수 있습니다.
STEP 03. 충치 3단계
증상 : 충치가 신경까지 침범한 단계입니다. 가만히 있어도
욱신거리고, 잠을 설치는 심한 통증이 있을 수 있습니다.
치료 : 충치에 감염된 신경을 제거해 통증을 없애고,
약해진 치아를 크라운으로 보호합니다.
치아균열 단계별 치료방법
치아균열은 현대 치의학에서 가장 진단하기 어려운 질환 중 하나입니다.
엑스레이로는 대부분 보이지 않으며, 오직 환자분이 느끼는 증상과 의사의 경험을 통한 종합적인 판단이 중요합니다.
닥터조는 균열의 깊이를 4단계로 나누어, 현재 상태를 정확히 진단하고 그에 맞는 최적의 치료 계획을 제시합니다.
STEP 01. 치아 표면에 국한된 균열
증상 : 씹는 면에 실금처럼 보입니다. 통증이 거의 없습니다.
치료 : 강한 치아 저작과 이악물기 등의 악습관 인지 후
습관 개선이 필요하며, 원내에서 교육 및 경과 관찰합니다.
STEP 02. 교합면에서 잇몸 경계까지 진행된 균열
증상 : 씹을 때 찌릿한 통증이 있을 수 있습니다.
치료 : 치아가 쪼개지는 것을 막는 크라운 치료가 필수입니다.
필요한 경우 신경치료가 동반되기도 합니다.
STEP 03. 신경까지 도달한 균열
증상 : 씹을 때 짜릿한 증상과 가만히 있을 때도 심한 통증이 동반됩니다.
치료 : 발치 가능성이 높으나, 신경치료와 크라운 치료로
치아를 살리는 시도를 해볼 수 있습니다.
STEP 04. 치아뿌리 균열
증상 : 치아 뿌리에만 균열이 생긴 경우 육안으로 확인이 불가능하며,
씹을 때 통증, 잇몸 염증 등이 동반될 수 있습니다.
치료 : 발치가 불가피합니다.
임플란트 또는 브릿지 치료가 필요합니다.

닥터조는 '경험'과 '종합적 증거'로 진단합니다.
하나. 모든 진단의 시작
'환자의 이야기에 귀 기울이는 문진'
언제, 어떻게, 얼마나 아픈지, 어떤 음식을 먹을 때 불편한지 등 환자분의 설명 하나하나에 진단의 가장 중요한 단서가 숨어있습니다. 저희는 장비를 보기 전에 환자분의 목소리부터 듣습니다.
둘. 의사의 눈과 손끝으로 확인
하는 '정밀 임상 검사'
치아를 직접 두드려보거나(타진 검사), 특정 부위를 물어보게 하거나(교합 검사)등 다양한 임상 검사를 통해 통증의 정확한 위치와 양상을 파악하여 숨어있는 충치와 균열의 위치를 추적합니다.
셋. 필요시, 최종 확인을 위한
'3D-CT 입체 분석'
통증의 원인이 치아 내부의 신경이나 뼈와 관련이 있다고 의심될 때, 3D-CT를 통해 치아 뿌리 상태를 3차원으로 확인합니다. 신경치료의 성공률을 높이고, 발치 여부를 결정의 중요한 근거가 됩니다.
DR. CHO DENTAL CLINIC
닥터조치과에서 치료받으신 분들의 치료사례 전후사진입니다.
본 이미지는 환자의 동의를 얻어, 동일 환경에서 촬영하였습니다. 시술, 수술 후에는 개인에 따라 출혈, 염증, 감염 등 부작용이 발생할 가능성이 있으므로 세심한 주의가 필요합니다.
의료진과 상담 후 결정하시기 바랍니다.
닥터조치과 자주 듣는 질문
DR. CHO DENTAL CLINIC
DR. CHO DENTAL CLINIC
A. 일시적으로 더 시리게 느끼는 것은 자연스러운 현상일 수 있습니다.
치아를 삭제하는 과정에서 신경이 예민하게 반응하거나,
때운 재료가 열을 전달하면서 발생하는 증상입니다.
대부분의 경우 시간이 지나면서 점차 괜찮아지지만,
만약 통증이 몇 주 이상 지속되거나 점점 심해진다면 다른 원인이 있을 수 있으니
꼭 다시 내원하여 검사를 받아보시는 것이 좋습니다.
A. 신경치료는 '이미 죽거나 죽어가는 신경'을 제거하는 치료입니다.
즉, 치료 때문에 치아가 약해지는 것이 아니라, 충치나 균열로 인해 신경이 손상될 정도로
치아가 이미 많이 약해진 상태이기 때문에 신경치료가 필요한 것입니다.
신경치료는 극심한 통증을 없애고, 이렇게 약해진 치아를 빼지 않고
계속 사용할 수 있게 해주는 마지막 보루와 같은 치료입니다.
치료 후에는 약해진 치아를 보호하기 위해
반드시 크라운을 씌워야 합니다.
A. 두 재료는 각각 장단점이 뚜렷하여, 어느 한쪽이 무조건 좋다고 말하기 어렵습니다.
금(골드)은 강도가 뛰어나고 인체에 무해하며 어금니에 가장 안정적이지만, 심미적으로 눈에 띈다는 단점이 있습니다.
치아 색 재료 (세라믹, 레진 등)는 자연치아와 거의 구분이 어려울 정도로 심미적이지만,
금에 비해 깨질 가능성이 있고 재료에 따라 비용 차이가 있습니다.
환자의 심미적 요구, 씹는 습관, 충치의 위치 등을 고려하여 가장 적합한 재료를
닥터조치과에서 함께 상의하여 결정하는 것이 좋습니다.
A. 매우 위험한 생각입니다. 치아균열은 통증이 없더라도, 음식을 씹는 힘이 계속 가해지면
어느 순간 '쩍'하고 치아가 쪼개질 수 있습니다.
한번 쪼개진 치아는 다시 붙일 수 없으며, 최악의 경우 발치해야 합니다.
통증이 없더라도 균열이 진단 되었다면, 더 이상의 진행을 막기 위해
크라운 등으로 치아를 보호해주는 것이 장기적으로 치아를 지키는 길입니다.
A. 꼭 그렇지는 않습니다. 모든 검은 점이 바로 치료해야 하는 충치는 아닙니다.
진행을 멈춘 '정지우식'일 가능성도 있기 때문입니다.
닥터조치과는 환자의 구강 위생 상태와 충치의 위치 등을 종합적으로 판단하여,
당장 치료하기 보다는 정기적으로 지켜보는 것이 더 유리하다고 판단되면
서둘러 치료를 권하지 않습니다. 하지만 진행 가능성이 높다고 판단되면, 더 커지기 전에
간단히 치료하는 것이 좋습니다.