당일 완성 내부기공 시스템
오늘 오신 분, 오늘 웃고 가세요.
2시간이면 끝나는 디지털 기공시스템

다른 곳에서는 본뜨고, 기다리고, 또 기다리고... 닥터조는 다릅니다.
"일주일을 기다릴 이유가 있나요?"
스캔 → 디자인 → 제작까지 단 2시간, 새로운 미소가 완성됩니다.
당일완성 내부기공 시스템
"오늘 오신 분, 오늘 웃고 가세요"
2시간이면 끝나는 디지털 기공 시스템
다른 곳에서는 본뜨고, 기다리고, 또 기다리고... 닥터조는 다릅니다.
"일주일을 기다릴 이유가 있나요?" 스캔 → 디자인 → 제작
단 2시간, 새로운 미소가 완성됩니다.
치과 두세번 드나들고
임시치아로 불편했던 경험,
있으셨죠?
첫날에는 본을 뜨고 며칠 뒤 다시 들러 임시치아
조정하고, 또 한 번 방문해 최종 보철을 붙이는 동안
일상은 자꾸 끊기고 임시치아는 떨어질까 불안합니다.
복잡한 일정 조율
직장 · 가사 · 학교, 세 번 이상 스케줄 비우기
임시치아 불편
뜨거움 · 차가움에 예민, 식사 제한
오랜 기대 시간
'잘 맞을까' 걱정하며 일주일 이상 기다림
이제는 치료와 기공을 한 자리에서 끝내
시간 · 번거로움 · 불안을
한 번에 줄이는 방법이 필요합니다.

닥터조의 모든 보철제작은
스캔 · 디자인 · 제작
✔ 눈앞에서 120분 완성!
3D 스캔 - 20 μm 정밀도로
고무 인상 없이 깔끔하게
- 입안 전체를 1초당 100만 포인트로 채집,
20 μm 정밀도 달성
- 고무 재료 없이 촬영-형 스캔이라 입안이 끈적이지 않고
구역질도 최소화함
- 스캔 결과를 의사·기공사가 즉시 공유해 오차 가능성 차단
실시간 디자인 - 주치의와 전담 기공사가
옆자리에서 즉시 미세 교정
- 전용 CAD 소프트웨어로 형태·교합·색조를
360°에서 미세 조정
- 주치의와 상주 기공사가 모니터 한 화면을 보며 즉석 피드백
→ “한 치의 틈”도 허용하지 않음
- 디자인 결과를 환자에게 보여주어 완성 예측 불안 해소
3.5축 밀링 & 장착 - 고강도 지르코니아를
30분 만에 가공, 바로 접착
3.5축 밀링으로 고강도 지르코니아 블록을 30분 만에 정밀 가공
1,600 °C 초고온 소결로 치아 강도 강화(30분)
숙련 기공사가 색·광택을 입혀 자연치 같은 투명도 완성(15 분)
한 번 누워 치료받고, 한 번 일어나 새 치아로
귀가하실 수 있습니다.

DR. CHO DENTAL CLINIC
흉내낼 수 없는
닥터조의 기공 시스템
• 상주 기공사 2 인
평균 경력 12 년, 보철 23,000 case
• 고사양 장비 풀라인업
PrimeScan·inLab·MCX5·SpeedFire 일체 보유
• 매일 08:00 품질회의
제작 오차 30 μm 이상이면 자동 재제작
장비만 갖춘다고 같은 결과가 나오지 않습니다.
사람 · 프로토콜 · 데이터가 모여야
‘닥터조 퀄리티’가 완성됩니다.
당일 완성으로 경험하는
3가지 편안함
총 내원횟수 1회
연차 · 휴가를 치료 대신 휴식에 사용
딱 맞는 보철
씹을 때 이물감·시림 없이 바로 식사 가능
심미 + 내구성 동시 해결
자연 광택 · 900 MPa 강도로 오래 오래
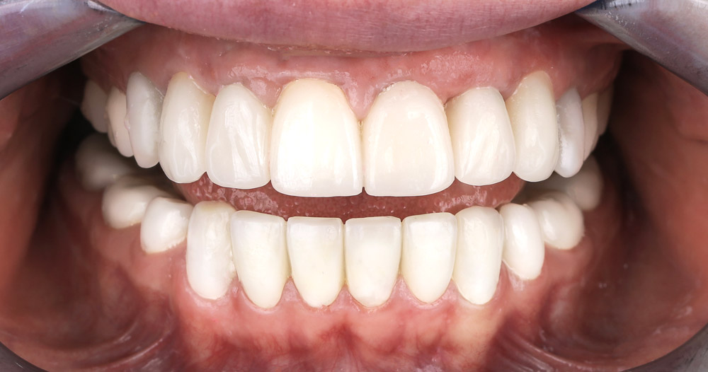
닥터조치과 치료사례
DR. CHO DENTAL CLINIC
본 이미지는 환자의 동의를 얻어, 동일 환경에서
촬영하였습니다. 시술, 수술 후에는 개인에 따라 출혈, 염증,
감염 등 부작용이 발생할 가능성이 있으므로 세심한 주의가
필요합니다. 의료진과 상담 후 결정하시기 바랍니다.
첫날에는 본을 뜨고 며칠 뒤 다시 들러 임시치아를 조정하고,
또 한 번 방문해 최종 보철을 붙이는 동안 일상은 자꾸 끊기고 임시치아는 떨어질까 불안합니다.
복잡한 일정 조율 : 직장 · 가사 · 학교, 세 번 이상 스케줄 비우기
임시치아 불편 : 뜨거움 · 차가움에 예민, 식사 제한
오랜 기대 시간 : “잘 맞을까” 걱정하며 일주일 이상 기다림
이제는 치료와 기공을 한자리에서 끝내
시간 · 번거로움 · 불안을 한 번에 줄이는 방법이 필요합니다.
3D 스캔 – 20 μm 정밀도로 고무 인상 없이 깔끔하게
- 입안 전체를 1 초당 100만 포인트로 채집, 20 μm 정밀도 달성
- 고무 재료 없이 촬영-형 스캔이라 입안이 끈적이지 않고 구역질도 최소화
- 스캔 결과를 의사·기공사가 즉시 공유해 오차 가능성 원천 차단
실시간 디자인 I 주치의와 전담 기공사가 옆자리에서 즉시 미세 교정
- 전용 CAD 소프트웨어로 형태·교합·색조를 360°에서 미세 조정
- 주치의와 상주 기공사가 모니터 한 화면을 보며 즉석 피드백 → “한 치의 틈”도 허용하지 않음
- 디자인 결과를 환자에게 보여주어 완성 예측 불안 해소
3.5축 밀링 & 장착 I 고강도 지르코니아를 30분 만에 가공, 바로 접착
- 3.5축 밀링으로 고강도 지르코니아 블록을 30 분 만에 정밀 가공
- 1,600 °C 초고온 소결로 치아 강도 강화(30 분)
- 숙련 기공사가 색·광택을 입혀 자연치 같은 투명도 완성(15 분)
“ 한 번 누워 치료받고, 한 번 일어나 새 치아로 귀가하실 수 있습니다. ”
DR. CHO DENTAL CLINIC
• 상주 기공사 2 인 I 평균 경력 12 년, 보철 23,000 case
• 고사양 장비 풀라인업 I PrimeScan·inLab·MCX5·SpeedFire 일체 보유
• 매일 08:00 품질회의 I 제작-오차 30 μm 이상이면 자동 재제작
장비만 갖춘다고 같은 결과가 나오지 않습니다.
사람 · 프로토콜 · 데이터가 모여야 ‘닥터조 퀄리티’가 완성됩니다.


총 내원횟수 1회
연차 · 휴가를 치료 대신 휴식에 사용
딱 맞는 보철
씹을 때 이물감·시림 없이 바로 식사 가능
심미 + 내구성 동시 해결
자연 광택 · 900 MPa 강도로 오래 오래
DR. CHO DENTAL CLINIC
닥터조치과에서 치료받으신 분들의 치료사례 전후사진입니다.
“하루 만에 달라진 미소, 직접 확인하세요.”
본 이미지는 환자의 동의를 얻어, 동일 환경에서 촬영하였습니다. 시술, 수술 후에는 개인에 따라 출혈, 염증, 감염 등 부작용이 발생할 가능성이 있으므로 세심한 주의가 필요합니다.
의료진과 상담 후 결정하시기 바랍니다.
닥터조치과 자주 듣는 질문
DR. CHO DENTAL CLINIC
DR. CHO DENTAL CLINIC
A.
네, 대부분의 보철물은 당일 수정이 가능합니다.
일단 환자가 마음에 안 드는 부분이 어떤 종류의 것인지를 먼저 파악하는 일부터 시작합니다. 기능적인 부분 (씹을 때 불편, 혀나 볼이 닿는 부분이 거슬림)과 심미적인 부분 (색조, 형태 등) 을 먼저 파악하고 작은 정도의 형태 수정이나 색조 수정은 당일 빠르게 가능합니다. 경우에 따라서 전면적인 재료 변경이나 디자인 변경이 필요한 경우에는 과감하게 재제작에 들어가게 되고 이 경우에도 1-2일의 빠른 수정을 진행하고 있습니다.
닥터조치과는 환자의 마음으로 기술적으로 허락하는 한 최선의 보철물을 제공하려고 노력하고 있고, 시간적인 부분도 최대한 빠르게 진행하고 있습니다.
A.
네, 내부 기공소의 정밀도가 외부보다 높을 수 밖에 없습니다.
일반적인 치과에서의 기공물은 정밀도가 들쑥날쑥 합니다. 이유는 보통 외주 기공소가 대형 업체이어서, 초짜 기공사부터 고년차 기공사까지 여러 명이 분업화되어 제작되고 있고, 제작 장비도 여러 종류가 있어서 기계마다 미세한 오차가 다 달라서 오차를 잡기가 매우 어렵습니다. 그러나 닥터조치과 기공실을 한 기공물에 대하여 한 장비가 일관되게 작업이 이루어지고 있으며, 닥터조 대표원장과 기공 실장이 품질 관리를 엄격하게 하고 있기 때문에 정밀도가 일관되게 유지되고 있습니다.
A.
네, 본 뜨는 작업은 하지 않고 스캔으로만 보철물을 제작하고 있습니다.
치아 인레이, 크라운, 브릿지, 라미네이트 등 대부분의 보철물을 본 뜨기 작업을 하지 않고 여러 장의 사진을 찍는 형태의 스캔으로 작업을 하고 있습니다. 전통적인 본 뜨기는 여러 공정 과정에서 재료의 수축, 기공사의 작업 오차가 발생할 수 있으나, 스캔 방식은 정확한 데이터 값으로 작업하기 때문에 더 정확한 보철물이 제작됩니다. 스캔은 약 10분 정도 소요되며 끈적거리는 느낌 없이 편하게 진료받을 수 있게 해줍니다.
"일반 보철 치료랑 비교하면 병원에 몇 번 덜 가도 되어요? 지방 사는데 왔다갔다 하기 힘들거든요."
A.
일반적인 크라운 인레이의 경우 한 번 내원으로 보철 제작이 완료됩니다.
소요시간은 미리 치과로 전화하여 예상 시간을 듣고 계획적으로 내원하여야 합니다. 제작 소요시간과 치과 예약 스케쥴, 중간에 점심 시간 등의 변수가 있어 미리 스케쥴을 잡고 내원하는 것이 바람직합니다.
A.
일반적인 크라운, 인레이 보철물은 하루만에 완성이 됩니다.
일반적인 크라운과 인레이는 30분 ~ 2시간이면 제작이 완료되어 하루 완성이 가능합니다.
경우에 따라서 보철물의 크기가 크거나 특수한 심미 보철의 경우 제작에 만 하루의 기간이 걸리는 경우도 있습니다. 일반적으로 보철물은 기공소 제작 기간과 배송시간 등이 필요하여 약 일주일간의 기간이 필요하지만 닥터조치과에서는 첨단 기공장비와 인력으로 진행되어 환자 입장에서 훨씬 편하게 보철물을 장착할 수 있습니다.